More stories
-
Mannatech Premieres Inspiring Documentary on Marathon Legend Steve Edwards
Marathon Legend Meets Modern Nutrition: A New Perspective The story of endurance champion Steve Edwards has captured the imagination of sports enthusiasts and health experts alike. In this opinion editorial, we explore how a modest upbringing, relentless determination, and cutting-edge nutritional support come together to create a legacy that transcends physical limits. Edwards’ journey—from breaking […] More
-
Roche Susvimo Receives FDA Approval for Revolutionary Diabetic Retinopathy Therapy
Revolutionizing Diabetic Retinopathy Treatment with Continuous Delivery Systems Diabetic retinopathy continues to be one of the most challenging eye conditions to manage. As the prevalence of diabetes increases, so does the number of individuals facing this potentially vision-threatening complication. Over the years, the treatment approach has mainly involved repeated eye injections that can be both […] More
-
Revolutionizing the Neurosurgery Landscape With Minimally Invasive Techniques
Advanced Minimally Invasive Neurosurgery Techniques for Brain and Spine Disorders Over the past few decades, the field of neurosurgery has witnessed a remarkable transformation as surgeons have moved away from open, highly invasive procedures towards minimally invasive approaches. This opinion editorial takes a closer look at the new age of minimally invasive technologies in neurosurgery. […] More
-
Cultivating Futures Celebrating The 2025 SDFB Scholarship Winners In Agriculture
European Data Protection Regulations and Digital Content Access The world of digital content is constantly evolving, and as technology advances, so do the tricky parts of managing online privacy and access rights. One of the most significant shifts in modern online practices has been the enforcement of data protection laws, particularly within the European Economic […] More
-
Kids Overcome Cancer and Embrace New Horizons
More Kids Are Winning Against Cancer, But the Battle for a Better Future Continues Across the nation, breakthroughs in pediatric oncology have helped more children triumph over cancer than ever before. However, as survival rates soar, a new challenge has surfaced: ensuring that these young fighters also enjoy a high quality of life in the […] More
-
Navigating cGvHD Insights for a New Era of Targeted Oncology
Chronic Graft-Versus-Host Disease: A Closer Look at the Condition and Its Challenges Chronic graft-versus-host disease (cGVHD) remains one of the trickiest parts of post-transplant care in modern medicine. With approximately 30-50% of patients experiencing this complication after allogeneic transplantation – and even higher rates in certain donor scenarios – the condition is full of problems […] More
-
Becks Bodywork Rejuvenates Asheville Highway as a New Haven for Wellness
Healthcare Access and Legal Restrictions: An Opinion Editorial In today’s digital age, healthcare information is more accessible than ever before. Yet, not every individual can freely access quality healthcare resources on the internet. Recent instances where websites return messages such as “451: Unavailable due to legal reasons” highlight a larger, intricate debate over data protection, […] More
-
Hot
Innovative therapeutic approaches using ozonated olive oil and chlorhexidine gel
Reimagining Periodontal Therapy: Ozonated Olive Oil Versus Chlorhexidine Gel The field of dentistry is constantly evolving, with innovative treatments emerging to address the tricky parts of periodontal disease. Recently, attention has shifted toward natural alternatives that are not only effective but may also lessen the risk of side effects associated with traditional therapies. In this […] More
-
Understanding The Rising Cost of Prescription Drugs And Discovering Ways To Save
Prescription Drug Prices: A Closer Look at What’s Driving Up Costs The rising cost of prescription medications has become a hot topic in today’s healthcare landscape. Many patients are left wondering why they’re facing intimidating costs even when they have insurance. In this opinion editorial, we get into the fine details of the factors behind […] More
-
NNMDA ushers new era of natural medicine transformation across all 774 LGAs
Indigenous Medicine Revolution in Nigeria: A Bold Path to National Health Prosperity The Nigeria Natural Medicine Development Agency (NNMDA) is setting the stage for a transformative journey in natural medicine. Lecturing to an audience in Lagos, Professor Martins Emeje, the agency’s Director-General, presented an ambitious initiative that aims to tailor natural remedies specifically for each […] More
-
Hot
Unraveling the Medical Mystery of a 67 Year Old Woman with Worsening Hiccups Dyspnea and Angina
Understanding a Rare Cardiac Anomaly: Left Atrial Appendage Aneurysm Introduction: A Rare Yet Intriguing Cardiac Challenge In the realm of modern medicine, there are cases that seem to defy common expectations and present a series of confusing bits, tricky parts, and tangled issues. One such case is the left atrial appendage aneurysm (LAAA), a rare […] More
-
Enhanced Drug Effectiveness Transforming Mass Treatment for Better Disease Control
The Missing Page of Healthcare: An Unexpected Comparison Imagine browsing your favorite website only to be met with the unsettling message “HTTP Status 404 – Not Found.” Now, picture applying that same idea to your search for answers within the vast realm of healthcare. In our modern society, hundreds of digital messages flash past us […] More
-
Transforming Ear Surgery Through Fascia Tympanoplasty in a Tertiary Center Experience
Fascia Tympanoplasty: An In-Depth Look at Outcomes and Challenges The world of ear surgery is filled with tricky parts and tangled issues, especially when it comes to repairing a perforated eardrum. In recent years, fascia tympanoplasty has become a common procedure to fix such problems, leading to improved hearing and anatomical restoration. Today, we take […] More
-
Navigating Ibuprofen Dosage for Senior Wellness
Understanding the Overload: When Digital Traffic Becomes Too Much The online world of healthcare information is filled with opportunities to reach out to thousands of people at once. Yet, behind this constant flow of information lies a whole realm of technical challenges that many of us have faced. One such challenge is the alarming error […] More
-
Ancient Chinese Acupuncture Revitalizing Modern Healthcare
Exploring More For You: A Comprehensive Journey in Health and Wellness In today’s world, finding more for you in health means more than simply treating symptoms or following a rigid medical routine. It is about embracing a holistic approach that combines modern medicine, alternative treatments, mindful nutrition, and balanced fitness routines. This opinion editorial takes […] More
-
Hot
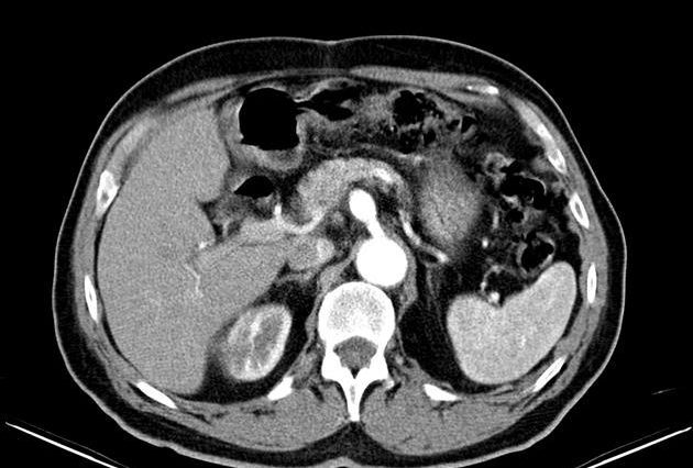
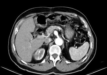
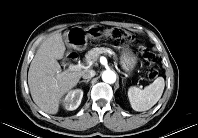
Breakthrough Lifesaving Intervention for Ruptured Celiac Artery Aneurysm
Modern Perspectives on Treating Celiac Artery Aneurysms The field of vascular surgery has seen remarkable progress over recent years, and few areas illustrate this advancement better than the successful minimally invasive treatment of ruptured celiac artery aneurysms. This opinion editorial offers an in-depth discussion of the current state of affairs, drawing upon a recently reported […] More














